新しい命と出会えたあなたへ
妊娠までの過程、妊娠から出産までの過程、お腹の赤ちゃんの成長やママの赤ちゃんに対する想いなどは、一人ひとり異なります。
何度も流産を経てここまでこられた方や、
体外受精でやっとの思いで授かられた方もおられるでしょう。
このまんがでは、出生前診断について臨床遺伝専門医監修のもと作成させていただきました。
この出会いがあなたのお役に立てますように。
まんがで遺伝カウンセリングを
知ろう!

このまんがの内容でご不明なところ、質問、相談がありましたら下記まで連絡いただけますと、
カウンセリングマインドを持った専門スタッフが電話相談を受けております。
-
(遺伝カウンセリング 胎児ドック 絨毛検査 羊水検査)
- 06-6704-1103
解説コーナー
出生前診断って何?
出生前診断って何?
出生前診断は検査方法も様々ですが、お母さんお父さんの考え方も様々ですね。そして赤ちゃんもいろいろですね。
出生前検査を行うかどうかもご夫婦のお考えになりますので決して医師が勧めるものではありません。
出生前診断は何の目的で受けるんですか?
生まれる前に赤ちゃんの状態を観察・検査し、子宮内での治療につなげたり、心臓等の疾患の有無を診断し、出生後の早期の治療につなげる準備をしたり、診断で得られた胎児についての情報を提供することが本来の目的です。
人工妊娠中絶との関連があり、倫理的、社会的課題を含んでいますがそれぞれの疾患に対応できる適切な周産期医療施設を事前に検討・選択することができますので出産時の緊急搬送や母子分離を回避することもできます。
何よりも出生前に胎児の状態や疾患等の有無を調べておくことによって、最適な分娩方法だけではなく、誕生する赤ちゃんの疾患を早期に受容し、疾患や障害に詳しい専門家やサポーター等による寄り添った支援を受けながら出生までの準備をすることもできます。
診断はどんなものがありますか?
出生前診断には、超音波(エコー)検査のような「形態異常」を調べる検査と「染色体異常」を調べる2種類の検査があります。
「染色体異常」を調べる出生前診断には、検査の結果に基づいて「診断が確定できない検査」と「診断が確定できる検査」とがあります。
染色体異常症を診断した場合でも、どのような赤ちゃんなの?を知るためには「超音波検査で赤ちゃんを診ること」が重要です。
ひとつの病院で情報を得られない事もありますので医療連携が重要ですね。
そして、何よりも大切な事は、診断して終わりではなく、そこから新しい命と向き合っていくことです。
診断でどんな疾患でも全てわかりますか?
出生前診断では、胎児の形態異常(見た目でわかる)や染色体異常(見た目ではわからない)の胎児の先天性疾患がわかります。
赤ちゃんの先天性疾患には様々なものがあります。
原因の特定が難しい先天性疾患も数多く存在し、疾患を確定できる検査を行ったとしても、すべての先天性疾患が分かるわけではありません。
最新のNIPTは、確定的検査ではないため、診断を確定するためには、羊水検査などの確定的検査と診断が必要になります。
染色体について
染色体は、レシビ(遺伝子)が書いてある本と考えると分かりやすいですね。染色体は1番から22番まであり、そして性染色体(X,Y)がひとつひとつの細胞に収納されています。
お父さんから一冊、お母さんから一冊もらうので二冊存在します。そして、必要に応じて、レシビを元に皮膚や骨など体を作っているんですよ。また、もうひとつ、お子さんへこのレシビを伝えるという重要な役割があるんですよ。
この本を二冊⇒シャッフル⇒一用にして、新しい本に書き換え、この一冊を卵子または精子に蓄えておくんですね。
そして受精のときにお子さんは一冊ずつもらうので、新しい二冊を受け継ぐんですね。
では、ひとつひとつの染色体にどれくらいレシビ(遺伝子)が書かれているんでしょう?


上の図からわかるように13、18、21番の染色体の中には遺伝子の数が、他の染色体に比較的少ないことがわかります。染色体の変化の中で、トリソミーという変化があります。トリソミーとは、3という意味で、通常染色体は二冊が1セットですが三冊存在することを「トリソミー」といいます。
例えば1番染色体が三冊あると、1トリソミーといいます。
1トリソミー、2トリソミ一等の場合は、含まれている遺伝子数が多いため、流産に至る事がほとんどですが、過伝子数の少ない染色体のトリソミー(13トリソミー、18トリソミー、21トリソミー)の中には、生まれてくることのできる赤ちゃんがいます。21トリソミーの場合、ダウン症候群と呼ばれています。ダウン症候群の場合、生まれてくることができる赤ちゃんは約20%といわれています。
生まれてくることってすごいことなんですね。
染色体を調べる検査
染色体異常症を調べる検査は、確定検査と非確定検査に分けられます。
分かりやすく言いますと、断定する検査と、可能性を調べる検査になります。
| 確定 検査 |
①絨毛検査 ②羊水検査 |
|---|---|
| 非確定 検査 |
③NIPT検査 / ④胎児超音波検査(胎児ドック) / ⑤コンバインド検査 / ⑥クアトロ検査 |
①絨毛検査(費用:約200,000円)
施設によって異なりますが、最近は流産率が低いとされる経腹法(お腹から針を刺します)で行う事が多く、妊娠11週~13週で行います。
流産率は1%と言われております。絨毛という胎盤になる部分を採取します。18Gというやや太い針を使用しますので局所麻酔を行います。
胎盤限局性モザイク(胎盤にのみ異常細胞が存在し、赤ちゃんには異常がない)という現象を拾い上げてしまう事が1~2%あります。
その場合は、再度、羊水検査が必要になります。高度な技術を要しますので、検査ができる施設は限られています。
②羊水検査(費用:150,000円~200,000円)
妊娠16週以降に行います。お腹から針を刺し羊水を採取します。羊水中に含まれている赤ちゃんの細胞を調べます。流産率は0.3%と言われています。
針の太さ等は施設によって異なります。細い針を使用している施設では、局所麻酔をしない場合もあります。結果については施設により異なります。
通常はG-band法という方法で染色体を見ますので、2~3週間で結果が分かります。また、FISH法やQF-PCR法等を用い、迅速に結果が出る施設もあります。絨毛検査、羊水検査は技術を要しますので、症例数の多い施設での検査が望まれます。また、染色体の結果で解釈が難しい例や、慎重なカウンセリングが必要な場合が少なからずありますので、臨床遺伝専門医のいる施設での検査が望ましいです。
染色体をさらに詳しく調べる検査として「マイクロアレイ検査」もあります。
染色体を調べる場合、G-band法といい、染色体を色で染めて額鏡で観察します。だから染色体と呼ばれているんですよ。
しかし、顕微線では見る事ができない、更に細かい部分を見るには、マイクロアレイ検査を行う事も最近始まっています。しかし、細かく見ることで、病的ではない、もしくは病的かどうか分からない部分が見えてしまい、不安になってしまう事があります。
通常は、超音波検査等で異常所見を認めますが、G-band法で異常を認めない場合に、マイクロアレイに進むことが多いです。
カウンセリングが重要となってきますので臨床遺伝専門医のいる施設で行う事が勧められます
③NIPT検査(非侵襲的出生前遺伝学的検査)
妊娠10週以降に行う血液検査になります。基本的に13トリソミー,18トリソミー,21トリソミーの可能性を調べます。
21トリソミーの場合、年齢によって左右されますが、35歳以上の方で、陽性的中率(検査で陽性と出て、本当に21トリソミーの確率)は90%以上です。陰性的中率(検査で陰性と出て、本当に21トリソミーでない確率)は99.9%です。
認可施設では35歳以上等、検査を受ける為には規定があります。
※NIPT検査は確定検査ではありませんので、検査で陽性と出ても、結果が違う可能性があります。
最終的な診断は、絨毛検査もしくは羊水検査が必要です。
NIPT検査は、絨毛間腔に存在する絨毛の細胞を見ています。つまり、羊水検査と同じように、赤ちゃんの細胞を直接みているのではありません。
絨毛検査と同様に、胎盤限局性モザイク(胎盤にのみ異常細胞か存在し、赤ちゃんには異常がない場合)をひろいあげてしまう可能性があります。
最近では、産婦人科ではない、無認可施設でのNIPTの普及が問題視されております。その理由は、年齢が低くなると、陽性的中率が低下する事、検査で解釈が難しい結果が出たときに対処が困難である事などが挙げられます。また、13トリソミー、18トリソミー、21トリソミー以外の染色体(全染色体)を調べる事や、微細欠失症候群を調べる事を行っている施設がありますが、このような疾患は陽性的中率が低い事が推測され、研究段階である事に注意しなければなりません。
※ある疾患の罹患率(病気が存在する率が低い)と、陽性的中率(検査で陽性と出て、本当にそうである率)は低下する事が知られています。
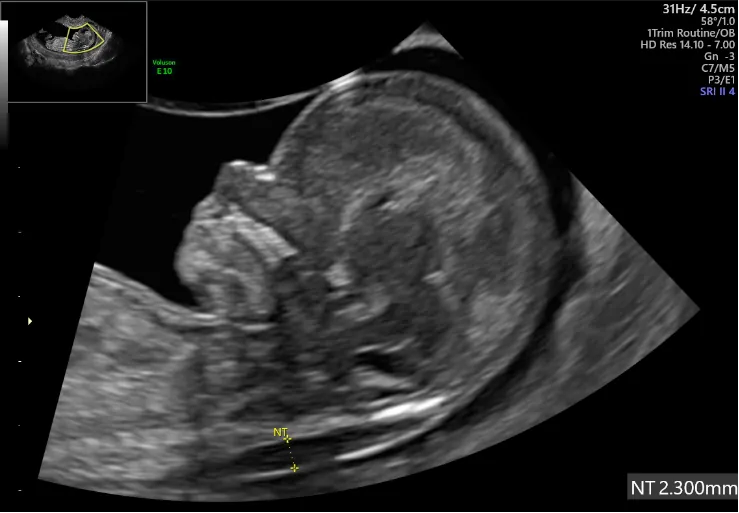
④胎児ドッグ(胎児初期精密超音波検査)(費用25,000円~50,000円)
妊娠12~13週に行います。
超音波検査で、NT(Nuchal translucency)首の後ろの透明な部分、鼻骨、心織の弁血流、静脈管血流、顔貌(耳介の位置や類の形成など)を総合的に評価する事ができます。また、Fetal medicine foundationのシステムを使う事により13トリソミー、18トリソミー、21トリソミーの確率評価を出す事が可能です。
染色体異常症の検査だけではなく、心臓や脳、手指などを観察できる事が利点ですので、疾患を知りたい方は良いでしょう。
21トリソミーの場合、検出率は90%と言われています。
※検出率とは、21トリソミーの赤ちゃんが、この検査を受けて検査陽性となる率です。

NTには正常値の設定はありません。一般的には3mm以上を厚いと判断しますが、3mm以上あっても異常の確率が3mm以下に比べると高くなるという意味です。正確には、赤ちゃんの大きさに対しての比率となります。
NTが厚い場合、染色体異常症や心疾患との関連があります。赤ちゃんの評価はNTだけではありません。総合的な判断となります。
NT計測にはFetal medicine foundationでのテストに合格しライセンスを取得した医師、または専門スタッフの計測が望まれます。
⑤コンバインド検査(超音波検査と血液検査の組み合わせ)(費用:約25.000~30,000円)
妊娠11週~13週に行います。NT(Nuchal translucency)血液検査を組み合わせる事により 13トリソミー、18トリソミー、21トリソミーの確率評価を出す事が可能です。21トリソミーの場合、検出率は82~87%と言われています。
⑥クアトロ検査(費用:20,000~25,000円)
妊娠15週以降に行う血液検査になります。
18トリソミー、21トリソミー、開放性神経疾患(二分脊椎等)のリスク評価を行います。
年齢的要素に影響されますので、比較的年齢層の低い方が受けられるとよいでしょう。
21トリソミーの場合、検出率は81%と言われています。
染色体以外(疾患)を
調べる検査
精密超音波検査 胎児ドック
今まで染色体を調べる出生前検査についてお話をしてまいりました。
生まれてくる赤ちゃんには100人中3~4人は、何らかの疾患があると言われています。
染色体が関係している割合は25%前後です。心職疾患等は、染色体異常症の6倍以上多いと言われています。
そして、これらの疾患を調べる為には、妊婦健診以外の精密な超音波検査が必要です。
※妊婦健診は胎児異常を見つける目的ではありません。
生まれてくる赤ちゃんには、100人中3~4人は、何らかの疾患があると言われています。
染色体が関係している割合は25%前後です。
心臓疾患等は、染色体異常症の6倍以上多いと言われています。
そして、これらの疾患を調べる為には、妊婦健診以外の精密な超音波検査が必要です。
通院している病院、クリニックで「スクリーニング検査」と称して妊娠中に調べておいた方が良い疾患を中心に検査を実施している施設があります。しかし出生前検査となりますので、施設により実施している病院、考え方は様々であります。
一度、赤ちゃんの疾患が心配な方は主治医の先生に相談してみても良いでしょう。
精密超音波検査(胎児ドック)を提供している専門病院もあります。




